March 9th 2005, at 3:15pm on River Road near Salinas California a 1998 Town & Country Van smashed head-on into a 150k pound construction Crane at a combined impact speed of 60 mph. There was only the driver in the vehicle, he was nearly dead and conscious as well as completely lucid and coherent. The firemen and police worked for 90 minutes to free his mangled body from the vehicle. Twenty minutes into the extraction, the jaws of life broke something that shook the whole van..... the engine had still been running and no one noticed. They had moved part of the frame and the engine started shaking the van violently. The injured driver reached up and turned off the ignition and soon after passed out while being removed from the van and was put into a comatose state for the trip aboard Stanford's Life Flight helicopter.
During the flight most of his blood was replaced with plasma and it took about 12 hours to stabilize him for initial surgery. The injuries were severe, compound fracture of the femur, both knees broken at every place bones meet, a broken hip, broken wrist, extreme trauma of the chest and lower body, and a staph infection in the wound, every rib broken in 3 places each, and completely torn ACL & PCL with partially torn MCL and meniscus, just to name the major ones. After several surgeries and a month in a comatose state I woke up. Yes this is my story, and this was my accident..... (warning images are graphic, but they are only images... I lived and was conscience through this)
I am actually in this picture, on a gurney, the guy in blue is looking at my hip and leg.
So, that was 8 years ago today. I consider that day the day my first life ended and my second one began. I was coming home from bringing my wife who was Type I Diabetic to the hospital due to a life threatening high sugar situation called Diabetic Ketoacidosis. We both ended up in the hospital that day, she went home a lot quicker than I did. March 9th 2005, seems like a lifetime ago, and I guess it kind of was. So much has changed now in our lives.
After the accident and the initial hospitalization, I endured several more surgeries and issues lasting over 2 years before returning to a point where I could get a job and live a daily life of some normalcy. During this time of recovery, my amazing wife and family did so much to give me the best chances possible mentally and physically of recovering. It was also during this time we found that Margo qualified for a medical research procedure being tested at UCSF medical center for Type I Diabetics to get away from needing insulin. This research eventually lead to her being recommended 4 years later for a full organ transplant to resolve her Type I diabetes. When she had her first surgical procedure was just 21 days after my last surgery. We transitioned back and forth over the next few months taking care of each other until we were both in pretty good shape.
Two and a half years after the accident I came to a point where I thought I could work a job and get myself off social security disability as an income source. This was a pretty large leap for a guy who was given very small chances of living, standing, walking, working, and dealing with the pain. I knew that if I could find a job that was mildly physical and mostly relied on my technical skills, that I would adjust and be able to cope at least. I had just kicked the terminal patient dosages of fentanyl patches which I was given for over 2 and one half years for pain when I secured a job where I was volunteering. My physical therapy for recovery was to go to every race at the local sports car track and volunteer in the media center helping the press get connected to the internet. So on November 14th 2007 I started a job as the IT & Technical Services Manager for Mazda Raceway Laguna Seca. I was so glad someone was willing to hire a handicapped person, I had just migrated from a wheelchair to walking in a brace a couple of months before. My second life was off to a great start, getting a job exceeded most everyone's expectations even just a year before.
For the last 5 years I have lived a very high paced and motivated second life. I was the Technical Services and IT department head for Mazda Raceway Laguna Seca, one of the top sports car racing venues in the world. We hosted an annual MotoGP Championship race each year along with 4-6 other major sports racing and historical events. The facility is over 500 acres and it really put my physical abilities to the test to take care of all the technical equipment and services offered property wide. During this time, my wife Margo, had her pancreas only transplant. (which is a very rare transplant) and has been cured of Type I Diabetes. To say we feel lucky is an understatement. She is on her second life too since the day of her transplant.
So we figured it was time to change the rest of our lives now that our health was in check finally. We spent 6 months buying a house on a short sale and finally closed the deal on September 13th 2012, just 11 days before our 13th anniversary of marriage. We had a lot to celebrate that month and planned on doing it for our anniversary September 24th. The day turned out to be far from what we imagined. That morning I was called into the corner office and told that my position was being removed, that I would receive a severance package and unemployment. After breaking the news to Margo about not having a job on our anniversary, you would think that things could not get any worse??? Wrong, this was also a day that would change my fathers life for quite a while as he fell and unknowingly broke 4 ribs, one of which punctured a lung and landed him in the hospital just hours later. All in all, a pretty bad week. That was another one of those days, in which, one life ended and another began. The last few months have been like a recovery from the affects of my second life, but much more pleasant than the recovery I endured after my first life.
So the last 6 months have been very different for me. Instead of working long and late everyday at work I put the time into some relatively new passions, a house remodel, photography and beta testing as many cool new technologies as I could get the ability to. Reconnecting with my family and other parts of my life set aside to recover from that accident 8 years ago today. I have realized so much over the past few months... amazing what some time off and a new passion or two will do for a person. This will be a new life for both my family and I. A new house, new city, soon a new job and sending our son off to college the next chapter in his life. I worked hard this past few months to prove to myself that my physical condition could be maintained without a job that pushed me to walk all the time. Photography and Augmented Reality gaming have become replacements for help desk support calls and running cable for connectivity. I have continued to go to the tech conferences like CES where I walked the entire 1.9 million square feet of display booths and additional miles each night on the Vegas Strip. I walk on sandy beaches and climb large rock formations almost every day taking pictures of our beautiful California coast. I have been beta testing a new type of gaming which must be played out in the real world called Augmented Realty Gaming. The game is by Google and called Ingress. because of these changes in my life, Physical therapy is the funnest part of any day for me now!
Daily physical therapy and careful use of my legs are how I have been able to beat the odds. If I had not started working my legs the week I woke up from my induced coma, I would probably not be able to do what I love to do now. I have found a fun way to deal with my daily requirements while enjoying my passions.
I should not be able to do anything I mentioned above including walking with these knees. I also am missing two ligaments in my left knee, both the ACL and the PCL were torn over 90% and had to be removed. This puts a lot more work on my muscles to take up the slack. Just about everyday I either walk the rocks and sand of the beaches taking pictures or I am driving and walking from landmark to landmark playing Ingress as a Level 8 agent for the resistance. I continue to walk the conference floors to see great technology being released each year, returning to, and finding new conferences for gadgets and geeks. These old and new passions have made this 3rd life of mine extremely enjoyable in just the first few months.
So what is next? We are going to start fresh and new with a new place, and a new life. We are literally going to try to throw out as much of our old lives as possible when we move, only take what we cannot part with. Then at the new place, we are going to be able to host gatherings and have friends over on a regular basis. I will continue to go to conferences, play Ingress and take the images I have fallen in love with making this past year and a half. The people I have met doing these activities are the other great part about our new lives. It has been so long since I had groups of friends like I do now in each activity... I can't wait to move and start having friends over and enjoying our new and better lives with the house warming party!
All the X-rays in this post were taken a few months ago, the ones from the time of the accident are much worse. Someday I will post the comparisons of before and after, the differences are quite amazing.
I had broken the ball of the hip joint completely off which was put back together with a rod which was later removed. This is how it looks now.
In this view you can see all the additional bone and even where the rod used to be.
If you look at my left leg in this view you can see where the compound fracture of my femur was about half way between my knee and hip.
All in all I have many people to thank and I will do it by living life to its fullest and enjoying every moment and person throughout. 8 years ago today my life almost ended... 2 years ago my wife got her transplant.... this summer my son will head off to college and this year we will all start a new life and all of you are invited to tag along!
After the accident and the initial hospitalization, I endured several more surgeries and issues lasting over 2 years before returning to a point where I could get a job and live a daily life of some normalcy. During this time of recovery, my amazing wife and family did so much to give me the best chances possible mentally and physically of recovering. It was also during this time we found that Margo qualified for a medical research procedure being tested at UCSF medical center for Type I Diabetics to get away from needing insulin. This research eventually lead to her being recommended 4 years later for a full organ transplant to resolve her Type I diabetes. When she had her first surgical procedure was just 21 days after my last surgery. We transitioned back and forth over the next few months taking care of each other until we were both in pretty good shape.
Two and a half years after the accident I came to a point where I thought I could work a job and get myself off social security disability as an income source. This was a pretty large leap for a guy who was given very small chances of living, standing, walking, working, and dealing with the pain. I knew that if I could find a job that was mildly physical and mostly relied on my technical skills, that I would adjust and be able to cope at least. I had just kicked the terminal patient dosages of fentanyl patches which I was given for over 2 and one half years for pain when I secured a job where I was volunteering. My physical therapy for recovery was to go to every race at the local sports car track and volunteer in the media center helping the press get connected to the internet. So on November 14th 2007 I started a job as the IT & Technical Services Manager for Mazda Raceway Laguna Seca. I was so glad someone was willing to hire a handicapped person, I had just migrated from a wheelchair to walking in a brace a couple of months before. My second life was off to a great start, getting a job exceeded most everyone's expectations even just a year before.
For the last 5 years I have lived a very high paced and motivated second life. I was the Technical Services and IT department head for Mazda Raceway Laguna Seca, one of the top sports car racing venues in the world. We hosted an annual MotoGP Championship race each year along with 4-6 other major sports racing and historical events. The facility is over 500 acres and it really put my physical abilities to the test to take care of all the technical equipment and services offered property wide. During this time, my wife Margo, had her pancreas only transplant. (which is a very rare transplant) and has been cured of Type I Diabetes. To say we feel lucky is an understatement. She is on her second life too since the day of her transplant.
So we figured it was time to change the rest of our lives now that our health was in check finally. We spent 6 months buying a house on a short sale and finally closed the deal on September 13th 2012, just 11 days before our 13th anniversary of marriage. We had a lot to celebrate that month and planned on doing it for our anniversary September 24th. The day turned out to be far from what we imagined. That morning I was called into the corner office and told that my position was being removed, that I would receive a severance package and unemployment. After breaking the news to Margo about not having a job on our anniversary, you would think that things could not get any worse??? Wrong, this was also a day that would change my fathers life for quite a while as he fell and unknowingly broke 4 ribs, one of which punctured a lung and landed him in the hospital just hours later. All in all, a pretty bad week. That was another one of those days, in which, one life ended and another began. The last few months have been like a recovery from the affects of my second life, but much more pleasant than the recovery I endured after my first life.
So the last 6 months have been very different for me. Instead of working long and late everyday at work I put the time into some relatively new passions, a house remodel, photography and beta testing as many cool new technologies as I could get the ability to. Reconnecting with my family and other parts of my life set aside to recover from that accident 8 years ago today. I have realized so much over the past few months... amazing what some time off and a new passion or two will do for a person. This will be a new life for both my family and I. A new house, new city, soon a new job and sending our son off to college the next chapter in his life. I worked hard this past few months to prove to myself that my physical condition could be maintained without a job that pushed me to walk all the time. Photography and Augmented Reality gaming have become replacements for help desk support calls and running cable for connectivity. I have continued to go to the tech conferences like CES where I walked the entire 1.9 million square feet of display booths and additional miles each night on the Vegas Strip. I walk on sandy beaches and climb large rock formations almost every day taking pictures of our beautiful California coast. I have been beta testing a new type of gaming which must be played out in the real world called Augmented Realty Gaming. The game is by Google and called Ingress. because of these changes in my life, Physical therapy is the funnest part of any day for me now!
Daily physical therapy and careful use of my legs are how I have been able to beat the odds. If I had not started working my legs the week I woke up from my induced coma, I would probably not be able to do what I love to do now. I have found a fun way to deal with my daily requirements while enjoying my passions.
I should not be able to do anything I mentioned above including walking with these knees. I also am missing two ligaments in my left knee, both the ACL and the PCL were torn over 90% and had to be removed. This puts a lot more work on my muscles to take up the slack. Just about everyday I either walk the rocks and sand of the beaches taking pictures or I am driving and walking from landmark to landmark playing Ingress as a Level 8 agent for the resistance. I continue to walk the conference floors to see great technology being released each year, returning to, and finding new conferences for gadgets and geeks. These old and new passions have made this 3rd life of mine extremely enjoyable in just the first few months.
So what is next? We are going to start fresh and new with a new place, and a new life. We are literally going to try to throw out as much of our old lives as possible when we move, only take what we cannot part with. Then at the new place, we are going to be able to host gatherings and have friends over on a regular basis. I will continue to go to conferences, play Ingress and take the images I have fallen in love with making this past year and a half. The people I have met doing these activities are the other great part about our new lives. It has been so long since I had groups of friends like I do now in each activity... I can't wait to move and start having friends over and enjoying our new and better lives with the house warming party!
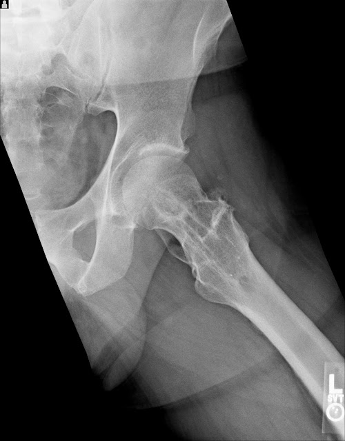
All the X-rays in this post were taken a few months ago, the ones from the time of the accident are much worse. Someday I will post the comparisons of before and after, the differences are quite amazing.
I had broken the ball of the hip joint completely off which was put back together with a rod which was later removed. This is how it looks now.
In this view you can see all the additional bone and even where the rod used to be.
If you look at my left leg in this view you can see where the compound fracture of my femur was about half way between my knee and hip.
A huge thanks to all of the friends I have out there who have been enablers for my passions. This past year and a half have been so awesome.
Thank you to all who have invited or joined me on a photowalk. My abilities as a photographer were derived from my interactions and learning through all of you in person and online through all of your images and comments. I used consumer point and shoot cameras with no real love for still photography until I started learning how to use a DSRL I was given by my father when he got a new one. My first photowalk was here in Monterey less than one year ago with Trey Ratcliff, Karen Hutton and Cliff Baise as our guides. My best images that day came from my cell phone and a Lytro Camera I was given to try as Eric Cheng and the Lytro gang were sponsoring the walk. Since then I have participated avidly in many Google+ Photo-activities and this has become one of my favorite places to meet people and enjoy one of my biggest and newest passions. My Google+ photography friends have been the single most influential force in my new life's happiness. The activities we meet and do are great but it really is the people and the community I enjoy the most. Your encouragement and tips and comments always make my day, and your friendship means the world to me.
Thank you to all who have invited me to tech conferences and gotten me tickets to shows and exhibits I would otherwise have not gotten to walk around and enjoy so much. This is my oldest current passion. I have been going to tech conferences since shortly after my Dad and his team launched the Zip drive at COMDEX. I have been running production on them for nearly 15 years as well. I try to attend every tech exhibit hall that have free tickets available and sometimes I am honored to be invited as a guest for one reason or another to the ones I could never afford to just go to. I occasionally even get to be a guest in a special lounge or back area which gives me a place to rest my legs and hang out with my friends and colleagues. You folks have enabled me to continue to walk further to see the gadgets and devices I love. It is such a privilege to be able to hang out with and follow all of you during these shows. Walking the entire show floor of CES each year would never be possible if I did not have as deep of a passion and as many good friends in the realm of technology and conferences.
Thank you to all who have played with and against me in this new type of Augmented Reality Gaming we now have with Ingress. I am part of the closed beta group for this new type of gaming. The Friends and "Frienemies" I have met here are my newest but the passion for advanced forms of gaming goes back to the very first Id Software games and movies like "Lawnmower Man". Since this type of gaming is only a few months old the interactions between folks I know in this world are very different and a bit awkward still, but I love these people as much as all the rest I now call friends. Here we are seeing that Augmented Reality is very different on interactions between players than Virtual Reality and much conflict still exists as that works its way through. Ingress is truly addictive once you get into it and I have always loved beta testing games. I am still not sure about a few of you new friends in this world .....but again that is the nature of this new type of gaming. This game takes play wherever you go so you cannot hide behind a keyboard. These friends are truly people to me unlike other gaming friends where I only know them online not in person like these folks.
All in all I have many people to thank and I will do it by living life to its fullest and enjoying every moment and person throughout. 8 years ago today my life almost ended... 2 years ago my wife got her transplant.... this summer my son will head off to college and this year we will all start a new life and all of you are invited to tag along!






There is no other word for you, George, beyond "amazing." That you have survived to tell your tale from that initial wreck is a miracle, but you, my friend, are simply amazing! I am ready to read about your next new chapter!
ReplyDelete